60周年
成果類別 科專研發
產出年度 107
計畫名稱 病理影像篩檢演算技術開發
技術類別
搭配推廣專利
技術現況敘述 細胞辨識系統主要技術將會在深度學習與大數據探勘,在深度學習技術開發目前會與學術界進行改良深度學習演算法技術,並整合本中心與醫學中心建立之細胞資料庫做大數據的資料探勘提升辨識的準確度,未來五年將完成臨床的軟體驗證來提升輔助診斷的準確性,成為國內唯一可於臨床進行輔助診斷之子宮頸抹片細胞分析軟體。
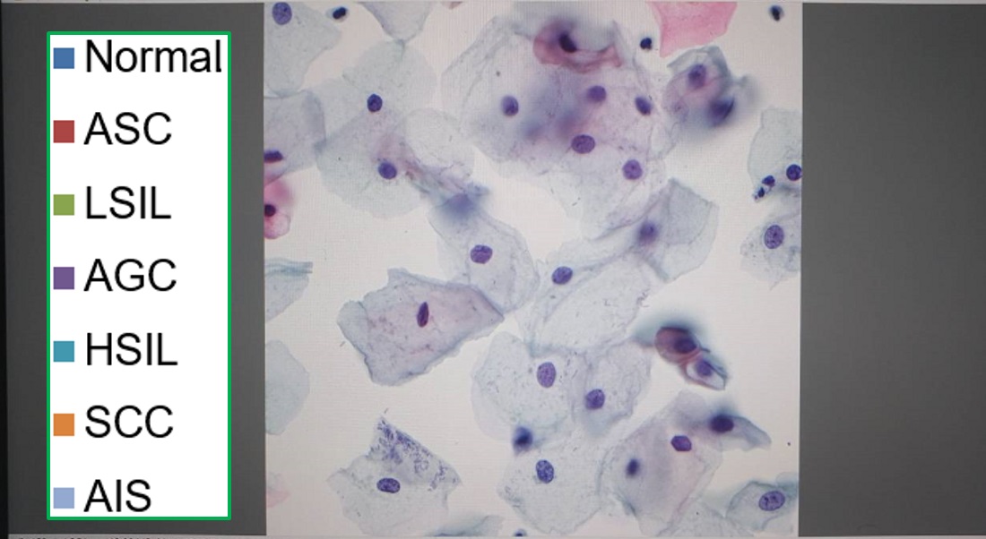
技術規格 子宮頸癌化細胞標記與影像前處理模組 子宮頸癌化細胞影像資料庫 基於深度學習方法之細胞影像辨識模型,可辨識癌化細胞7類
可移轉技術名稱(中) 深度學習病理細胞影像分析系統
可移轉技術名稱(英) Cell Image Analysis System using Deep learning
可應用範圍 醫療器材產業,光電半導體測試
市場(產品/服務)潛力預估 依據103年度醫檢師公會統計,全台登記之醫檢師人數達9千多人,但一位資深之醫檢師,在業務範圍內除子宮頸抹片外,還需進行尿液抹片、胸腔抹片、乳房抹片等細胞學診斷,此外還有組織切片製作與觀察等相關事務需同時進行,在病理單位之醫檢師,每位細胞醫檢師每年需處理12,000婦科檢體及至少3000個非婦科檢體,而細胞抹片中有成千上萬個細胞,醫檢師需在極短時間內迅速瀏覽完一片抹片並辨別正常或異常抹片,但病理師與醫師人數上升緩慢,無法負荷臨床龐大的子宮頸抹片量,容易因工作過度負荷而造成判斷錯誤等風險。而全球具備抹片影像自動辨識技術的公司僅美國BD與美國Hologic。BD公司Focalpoint GS Imaging System,具備獨特且精準的病理特徵自動辨識技術,可於8小時內自動辨識170個子宮頸抹片,且每張抹片會提供10個可能不正常病徵的視角(FOV),並加以排列病理等級,協助病理師與醫師於數分鐘內,即可判讀並確認子宮頸病變等級,擺脫以往須以人力將抹片上的數千萬顆細胞都一個個放大並辨識確認,大幅縮短人力耗費與時程成本,且降低錯誤判讀率。Hologic同樣於2003年推出類似功能的系統ThinPrep Imaging system,具備獨特且精準的病理特徵自動辨識技術,每張抹片會提供22個可能不正常病徵的視角(FOV),方便病理師與醫師判讀與辨識。本計畫開發之深度學習細胞影像分析技術,一張細胞影像,從讀取影像→自動特徵擷取→病理細胞分類完成需在5秒內完成(測試處理器:Intel(R) Core(TM) i7-6700 CPU @ 3.40GHz),正常與異常細胞辨識率達90%
所需之主要軟硬體設備 C語言.python
總聯絡窗口 金屬工業研究發展中心 羅政副組長 
Tel: 07-3513121轉2366, Fax: 07-3534062
E-mail :judylo@mail.mirdc.org.tw
更新日期:108-03-18 / 維護單位:系統管理者
<